
Restorations

Restore Your Teeth by Visiting Your Professional Cosmetic Dentist in Solana Beach
As your experienced cosmetic Dentist in Solana Beach, we provide our patients with reliable, professional teeth restoration services. Our experience, advanced skills, modern technology, and commitment combine to help us give you that attractive smile you’re looking for. We provide you with full mouth restoration in a comfortable environment in Solana Beach CA.
Benefits and reasons why you may need restorative dentistry:
Read More
- Correct an improper bite
- Prevent tooth loss
- Fill empty spaces between teeth
- Enhance smile
- Repair damaged teeth
- Relieve dental pain
Based on whether you need partial or full mouth restoration in Solana Beach CA, we have the following procedures for you:
Bioclear
The Bioclear Method is a modern alternative to porcelain veneers and traditional bonding that allows us to reshape and enhance your smile using strong, tooth-colored material. This minimally invasive technique delivers smooth, natural-looking results while preserving as much of your natural tooth as possible in often just one visit.
Composite Fillings
These restorations are used in cases where there is minor to moderate decay as well as small cracks, chips or fractures. Composite resins are custom tooth colored, natural looking, mercury and metal free restorations that bond beautifully to teeth and are ideally suited for small to moderate conservative restorations.
Dentures and Partial Dentures
Dentures are an effective way of replacing missing teeth. Many patients like the fact that they resemble natural teeth and are removable.
There are complete and partial dentures. Complete dentures are used when all the teeth are missing in an arch (upper or lower). Partial dentures are used to replace gaps left by one or several missing teeth. They clasp onto the remaining teeth in the arch for support.
A lot of our patients prefer to use implants to improve retention of their dentures and partial dentures.
There are many options available and we will be more than happy to help you select the right one for your needs.
Fixed Bridges
This is a non-removable way of replacing missing teeth. There are different types of fixed bridges that can be used. These can be discussed with your cosmetic Dentist in Solana Beach at Solana Beach Family Dental. The most popular is the traditional bridge, which is made of either ceramics or porcelain fused to metals. Even though they last many years, they may have to be replaced due to normal wear and tear, or if the anchor teeth crack or become decayed. Bridges are used to fill spaces and to avoid teeth from drifting out of their position, restore chewing ability, and maintain facial shape.
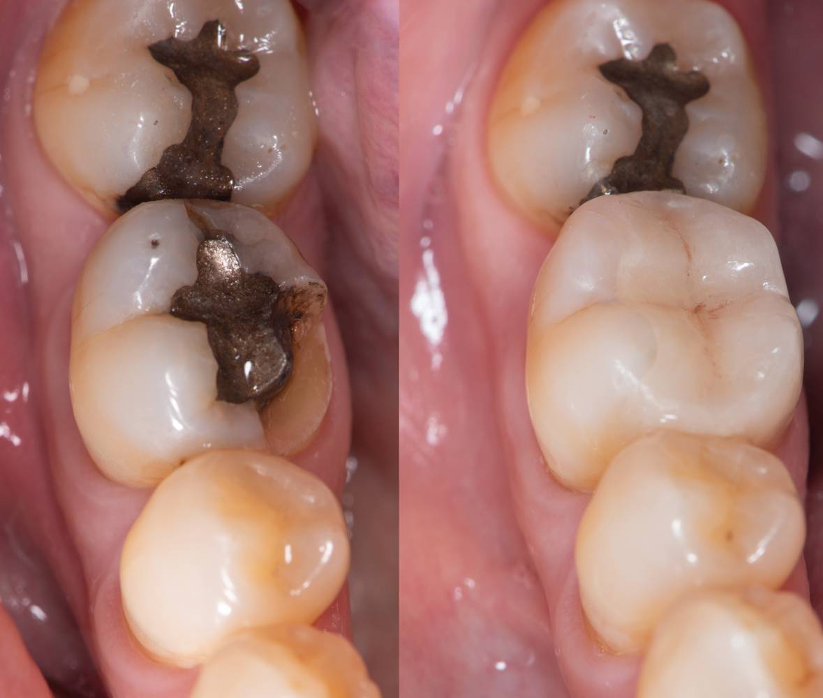
Inlays/Onlays
If the damage to your teeth isn’t bad enough to warrant implants or crowns and is too extensive to contain fillings, a good solution is inlays or onlays. Inlays and onlays are a more conservative approach to restorative dentistry using porcelain.
We remain focused on our mission to provide reliable cosmetic dentistry services and make your experience at our facility memorable.


As a team of committed and professional Solana Beach Family Dentists, we make sure that we address all your dental worries in a relaxing and comfortable environment. We look forward to seeing you and helping you with all your dental problems. Contact us today!
Book Appointment